ダイレクトボンディング
ダイレクトボンディングとは
ダイレクトボンディング治療とは、虫歯治療後の詰め物、すきっ歯などに対しレジン(ハイブリッドセラミック)を用いて、天然歯同様に修復する治療方法です。
施術者の技量とセンスが顕著に出る治療でもあり、大変手間が掛かる為、あいおい歯科グループでも当院のみ行っています。
ダイレクトボンディングのメリット・デメリット
ダイレクトボンディングのメリットとデメリットを解説します。
メリット
- 変色しにくい
- 治療回数が少ない
- 部分的に補修が出来る
- 自然な色を再現できる
- 削合量が少ない
- セラミックより安価
デメリット
- 歯科医師の技術力で差が出る
- 保険治療より高額になる
- 耐久性はセラミックより劣る
ダイレクトボンディングでどんなことができるか
- 虫歯の詰め物
虫歯の治療後今まで銀歯を被せていたケースも、ダイレクトボンディングを用いて自然な歯になりました。
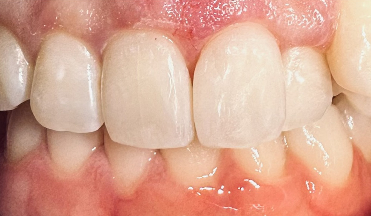
- 前歯のすきっ歯
歯と歯の間の隙間をダイレクトボンディングで自然な見た目に修復しています。
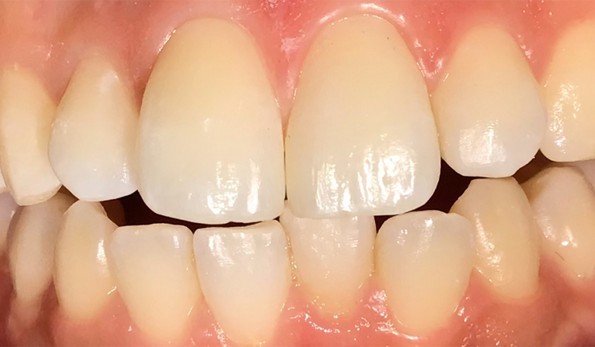
- ブラックトライアングル
ブラックトライアングル(歯と歯、歯ぐきの間にできるトライアングル状のすき間)がダイレクトボンディングで改善された症例です。
記事の監修


